Ветеринарный врач визуальной диагностики
Освоите навыки проведения УЗ-диагностики, рентгена, МРТ и КТ
Профильный курс


Высокий заработок в "спокойном" отделении клиники

Научитесь не только понимать снимки, но и активно участвовать в ведении пациента и назначении терапии

Разовьете клиническое мышление и насмотренность

Доступ сразу
Длительность | 3,5 мес
Получите необходимый современному ветеринарному специалисту навык

Получите знания эквивалентные практике с личным сопровождением нескольких опытных коллег
Ветеринарный врач визуальной диагностики
Программа | Преимущества курса | Выбрать тариф
Профильный курс
Освоите навыки проведения УЗ-диагностики, рентгена, МРТ и КТ
Получите знания эквивалентные практике с личным сопровождением нескольких опытных коллег
Высокий заработок в "спокойном" отделении клиники
Получите необходимый современному ветеринарному специалисту навык
Научитесь не только понимать снимки, но и активно участвовать в ведении пациента и назначении терапии
Доступ | 7 месяцев
Доступ сказу после покупки
Разовьете клиническое мышление и насмотренность
Максимальная выгода
только для вас
Специальное предложение для вас, как участника конференции – дополнительная скидка на любой выбранный тариф
Без визуальной диагностики сейчас никуда
Отсутствие визуальной диагностики в карте – показатель вашей некомпетентности и непрофессионализма. 100% уверенность в поставленном диагнозе невозможна без доказательств
Без диагностики нет диагноза
Патологии не видны невооруженным взглядом. Без визуальной диагностики вы упускаете более половины полезной и необходимой информации о пациенте и заболевании
Не суди кошку по обложке
2
Умение проводить визуальную диагностику становится нормой для рядовых врачей. Ожидание узкопрофильного специалиста – трата времени, которого может не быть
Незнание не освобождает от ответственности
3
1
Визуальная диагностика – ваша уверенность
Обязательный навык для всех специалистов
Проведение визуальной диагностики - универсальный навык, который позволит грамотно и профессионально поставить, опровергнуть или подтвердить диагноз.

Врачи с такими знаниями видят полную картину заболевания и работают с пациентом комплексно.
Ветеринарный врач визуальной диагностики
Обновленная информация для качественной помощи пациентам
• Развитие компетенций и освоение новых навыков
• Вертикальный карьерный рост
Ветеринарный врач любой специализации
• Диагноз на основе доказательств
• Минимизируйте ошибки в своей практике
• Помощь пациенту без лишних шагов
Научитесь не смотреть, а видеть
Пациент: той-терьер, 8 лет,
владельцы пациента обратились с жалобами на кровь в моче
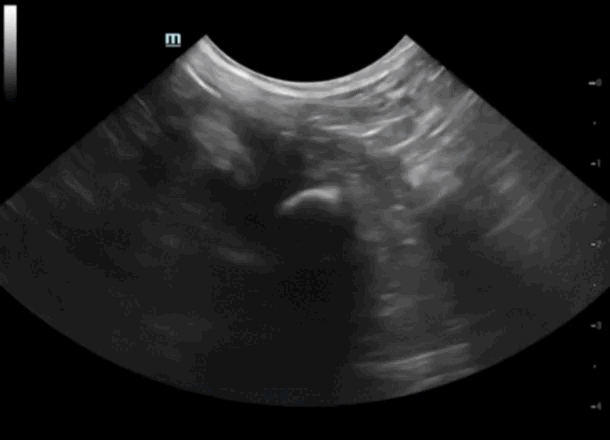
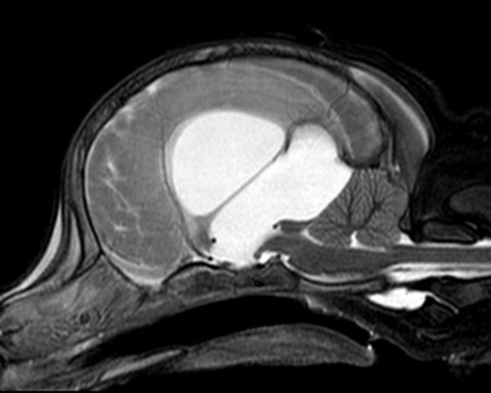
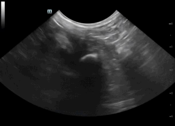
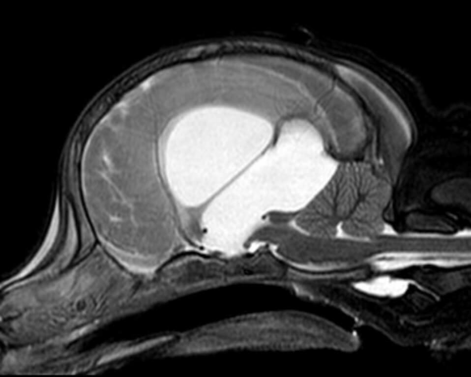
Пациент: кошка, высотная травма
Тривентрикулярная внутренняя напряженная гидроцефалия

*материал Луковниковой Екатерины
Пациент: щенок ка-де-бо, 4 месяца
Выявлено большое количество уролитов различного размера в полости мочевого пузыря

*материал Лукьяновой Анны
Пациент: 10-месячный джек-рассел терьер. Жалобы на снижение аппетита, похудение.
По КТ подтвердилось наличие внепечёночного спленоазигонального шунта.

*материал Колесова (Костыгова) Елена
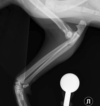
Оскольчатый перелом локтевой кости, вывихи лучевой и локтевой костей в
локтевом суставе ЛГК.
*материал Плехановой Татьяны
Разные патологии требуют специальных методов диагностики. Грамотный подход к пациенту – выбор наиболее информативного и подходящего исследования в конкретных клинических случаях.

На курсе "Ветеринарный врач визуальной диагностики" вы освоите полный набор необходимых навыков
УЗ-исследование
Рентген
Компьютерная томография
МРТ
Ваш результат будет виден сразу
Не умеете работать с аппаратами, боитесь допустить ошибку или не заметить патологию из-за нехватки опыта и насмотренности
Начинающий специалист
визуальной диагностики

Объем информации на курсе равен 3 годам самостоятельной практики

• Необходимая база знаний
• Опыт ведущих экспертов отрасли
• Уверенный старт в карьере
Ваш результат
Чувствуете, что стоите на месте, а коллеги ушли далеко вперед. Хотите развиваться в комфортных для вас условиях
Опытный специалист
визуальной диагностики

Обучение на нашем онлайн курсе, как очная практика с личным сопровождением нескольких опытных коллег

• Повышение квалификации не выходя из дома
• Насмотренность – разбор клинических случаев из практики ведущих специалистов
• Узнаете "секреты" профессионалов
Ваш результат
Сомневаетесь в поставленных диагнозах и боитесь из-за нехватки знаний упустить важный диагностический фактор.
Ветеринарный врач
другой специализации

Знания, полученные на курсе откроют для вас новые возможности

• Знания, необходимые для качественной диагностики
• Уверенность в поставленном диагнозе и терапии
• Новая востребованная квалификация в вашем резюме
Ваш результат
Коллектив без врача визуальной диагностики, как без глаз
Врач визуальной диагностики – связующее звено между всеми врачами клиники. Именно этот специалист вносит незаменимый вклад в диагностический процесс и разработку самой эффективной стратеги лечения.
ХИРУРГИЯ
ОРИТ
ТЕРАПИЯ
разработка индивидуального плана операции
диагностика экстренных
пациентов
подтверждение
и постановка диагноза
Станьте героем своей команды
Развивайте свои навыки и увеличивайте уровень своей заработной платы в любимой профессии
Высокий спрос и зарплата
на любимом деле
80 000 ₽
100 000 ₽
120 000 ₽ +
*по данным hh.ru
Опытный врач
Руководитель отделения
Начинающий врач
1
Без диагностики нет диагноза
Без визуальной диагностики сейчас никуда
Отсутствие визуальной диагностики в карте – показатель вашей некомпетентности и непрофессионализма. 100% уверенность в поставленном диагнозе невозможна без доказательств
2
Не суди кошку по обложке
Патологии не видны невооруженным взглядом. Без визуальной диагностики вы упускаете более половины полезной и необходимой информации о пациенте и заболевании
Незнание не освобождает от ответственности
Умение проводить визуальную диагностику становится нормой для рядовых врачей. Ожидание узкопрофильного специалиста – трата времени, которого может не быть
Визуальная диагностика – ваша уверенность
3
Незнание
не освобождает
от ответственности
Обязательный навык для всех специалистов
Проведение визуальной диагностики - универсальный навык, который позволит грамотно и профессионально поставить, опровергнуть или подтвердить диагноз. Врачи с такими знаниями видят полную картину заболевания и работают с пациентом комплексно.
Ветеринарный врач визуальной диагностики
Обновленная информация для качественной помощи пациентам
Развитие компетенций и освоение новых навыков
Вертикальный карьерный рост
Ветеринарный врач любой специализации
Диагноз на основе доказательств и исследований
Минимизируйте ошибки
в своей практике
Помощь пациенту без лишних шагов
Научитесь не смотреть, а видеть
Пациент: щенок ка-де-бо, 4 месяца
Пациент: кошка, высотная травма
Пациент: той-терьер, 8 лет, жалобы на кровь в моче
Пациент: джек-рассел терьер,
10 месяцев. Снижение аппетита, похудение
Выявлено большое количество уролитов различного размера в полости мочевого пузыря

*материал Лукьяновой Анны
Тривентрикулярная внутренняя напряженная гидроцефалия

*материал Луковниковой Екатерины
Оскольчатый перелом локтевой кости, вывихи лучевой и локтевой костей в локтевом суставе ЛГК.

*материал Плехановой Татьяны
По результатам анализов крови подозревали портосистемный шунт. По КТ подтвердилось наличие внепечёночного спленоазигонального шунта.

*материал Колесова (Костыгова) Елена
Научитесь не смотреть, а видеть
Пациент: щенок ка-де-бо, 4 месяца
Пациент: кошка, высотная травма
Пациент: той-терьер, 8 лет, жалобы на кровь в моче
Пациент: джек-рассел терьер, 10 месяцев. Снижение аппетита, похудение
По результатам анализов крови подозревали портосистемный шунт. По КТ подтвердилось наличие внепечёночного спленоазигонального шунта.

*материал Колесова (Костыгова) Елена
Выявлено большое количество уролитов различного размера в полости мочевого пузыря

*материал Лукьяновой Анны
Тривентрикулярная внутренняя напряженная гидроцефалия

*материал Луковниковой Екатерины
Оскольчатый перелом локтевой кости, вывихи лучевой и локтевой костей в локтевом суставе ЛГК.

*материал Плехановой Татьяны
Разные патологии требуют специальных методов диагностики. Грамотный подход к пациенту – выбор наиболее информативного и подходящего исследования в конкретных клинических случаях.

На курсе "Ветеринарный врач визуальной диагностики" вы освоите полный набор необходимых навыков
УЗ-исследование
Магнитно-резонансная томография
Рентгенологическое исследование
Компьютерная томография
Ваш результат будет виден сразу
Не умеете работать с аппаратами, боитесь допустить ошибку или не заметить патологию из-за нехватки опыта и насмотренности
Начинающий специалист
визуальной диагностики
Сомневаетесь в поставленных диагнозах и боитесь из-за нехватки знаний упустить важный диагностический фактор
Чувствуете, что стоите на месте, а коллеги ушли далеко вперед. Хотите развиваться в комфортных для вас условиях
Опытный специалист
визуальной диагностики
Ветеринарный врач
другой специализации
Знания, полученные на курсе, откроют для вас новые возможности
Обучение на нашем онлайн курсе, как очная практика с личным сопровождением нескольких опытных коллег
Ваш результат
Ваш результат
Знания, необходимые для качественной диагностики
Повышение квалификации не выходя из дома
Объем информации на курсе равен 3 годам самостоятельной практики
Ваш результат
Необходимая база знаний
Опыт ведущих экспертов отрасли
Уверенный старт в карьере
Насмотренность – разбор клинических случаев из практики ведущих специалистов
Узнаете "секреты" профессионалов
Уверенность в поставленном диагнозе и терапии
Новая востребованная квалификация в вашем резюме
Коллектив без врача визуальной диагностики, как без глаз
Врач визуальной диагностики – связующее звено между всеми врачами клиниками. Именно этот специалист вносит незаменимый вклад в диагностический процесс и разработку самой эффективной стратеги лечения.
Станьте героем своей команды
контроль после 
и во время операции
диагностика экстренных и тяжелых пациентов
разработка индивидуального 
плана операции
постановка и подтверждение
диагноза
отслеживание динамики 
и эффективности терапии
ОРИТ
терапия
гастроэнтерология
хирургия
стоматология
Вы постоянно пересматриваете сериал "Доктор Хаус" и мечтаете также разбираться в сложных клинических случаях и находить нестандартные решения?

Тогда профессия ветеринарного врача визуальной диагностики отлично вам подойдет! Находите важнейшие ключи к разгадкам самых запутанных клинических кейсов.
Визуальная диагностика – для тех, кто хочет быть, как доктор Хаус
Стресс и напряжение отделений хирургии и ОРИТа не для вас? Ветеринария – сфера, где каждый может найти свое место и проявить сильные стороны.

Раскройте свой потенциал в профессии врача визуальной диагностики – ценный навык и увлекательная практика в комфортной и спокойной обстановке.
И для тех, кто устал от хаоса других отделений
Освоите проведение AFAST, TFAST, VetBlue
Чему вы научитесь?
Сможете с легкостью понимать УЗИ и видеть патологию
Научитесь проводить УЗИ шеи, грудной полости, ЖКТ, мочевыделительной и половой системы
Научитесь правильным укладкам
Узнаете, как проводить рентген-диагностику головы, грудного отдела и органов брюшной полости
Научитесь рентгеноконтрастным исследованиям
Сможете легко интерпретировать и понимать изображения, писать заключения без ошибок
Узнаете, как подготовить пациента
Изучите правила работы с аппаратурой
Сможете принимать не только собак и кошек, но и экзотических пациентов
Изучите правила написания заключений и сможете составлять их без ошибок
Сможете грамотно писать рентгенологическое заключение
Высокий спрос и зарплата на любимом деле
Развивайте свои навыки и увеличивайте уровень заработной платы в любимой профессии
100 000
120 000 ₽
80 000 ₽
Визуальная диагностика – для тех,
кто хочет быть, как доктор Хаус
Вы постоянно пересматриваете сериал "Доктор Хаус" и мечтаете также разбираться в сложных клинических случаях и находить нестандартные решения?

Тогда профессия ветеринарного врача визуальной диагностики отлично вам подойдет! Находите важнейшие ключи к разгадкам самых запутанных клинических кейсов.
Стресс и напряжение отделений хирургии и ОРИТа не для вас? Ветеринария – сфера, где каждый может найти свое место и проявить сильные стороны.

Раскройте свой потенциал в профессии врача визуальной диагностики – ценный навык и увлекательная практика в комфортной и спокойной обстановке.
И для тех, кто устал от хаоса других отделений
Чему вы научитесь?
УЗ-дианостика
Сможете с легкостью понимать снимки УЗИ и видеть патологии
Научитесь проводить УЗИ шеи, грудной полости, ЖКТ, гепатобилиарной, мочевыделительной и половой системы
Сможете принимать не только собак и кошек, но и экзотических пациентов
Изучите правила написания заключений и сможете составлять их без ошибок
Освоите проведение AFAST, TFAST, VetBlue
Рентген
Узнаете, как проводить рентген-диагностику головы, грудного отдела и органов брюшной полости
Научитесь рентгеноконтрастным исследованиям
Сможете грамотно писать рентгенологическое заключение
Будете знать все о своей безопасности, а также безопасности коллег, владельцев и пациентов во время проведения исследования
Научитесь правильным укладкам
МРТ / КТ
Узнаете, как подготовить пациента
Изучите правила работы с аппаратурой
Сможете легко интерпретировать и понимать изображения, писать заключения без ошибок
Курс для вас, если:
Для вас важно не стоять на месте и постоянно совершенствовать свои навыки – быть в курсе актуальной информации и последних исследований, уметь работать с новой аппаратурой.
Эксперты нашего курса помогут восполнить любые пробелы и систематизировать знания. Учитесь на кейсах повышенной сложности от опытных коллег
В вашей клиники нет профильного специалиста и вы сами осознаете незаменимость визуальной диагностики при работе с пациентами.
Знание основ визуальной диагностики важны любым ветеринарным специалистам. На курсе вы сможете повысить свою квалификацию для более комплексной помощи пациентам.
Вы – ветеринарный врач
визуальной диагностики
Вы – вет. врач
другой специализации
Наш курс – отличный старт в карьере ветеринарного врача визуальной диагностики.

Наши эксперты, практикующие врачи, подробно и простыми словами разбирают сложные темы и делятся клиническим опытом.

Наша цель – донести знания до слушателя любого уровня!
Вы – ассистент или
начинающий специалист
Вам мало изучать сельхоз животных, мало пыльных учебников и статей 2006 года?

Приглашаем на курс, созданный совместно с практикующими ветеринарными врачами. Вчера на приеме – сегодня лектор уже разбирает интересный кейс из практики вместе с вами.

Наш курс – ваша база в ветеринарной практике!
Ответить на любые вопросы и проконсультировать сможет наш специалист по подбору обучения – оставьте заявку в форме, а мы свяжемся с вами в кратчайшие сроки
Вы устали от работы в своем отделении, но не хотите уходить из любимой профессии?

На нашем курсе вы сможете освоить ценный навык визуальной диагностики, а эксперты поддержат на каждом этапе обучения. Продолжайте помогать пациентам с новыми знаниями и силами!
Вы – студент
Вы все еще не уверены, что этот курс для вас
Вы хотите сменить специализацию
3 года опыта за 3 месяца на курсе
Эксперты нашего курса делятся со слушателями секретами профессии и многолетним опытом. Сделайте скачок в своем развитии, как специалиста – обучение на курсе "Ветеринарный врач визуальной диагностики" равноценно 3 годам самостоятельного изучения.

Экономьте время и силы – учитесь у опытных профессионалов!
Оставьте заявку в форме, в кратчайшие сроки с вами свяжется наш специалист по подбору обучения
Получить бесплатную консультацию
Отправляя форму, вы соглашаетесь на обработку персональных данных и получение информационных сообщений от vet_workshop
Обучение ваших сотрудников
на нашем курсе
Квалифицированные сотрудники – успех любой клиники
Обучение сотрудников – вклад в развитие вашего ветеринарного бизнеса и увеличение потока клиентов
Улучшение качества работы, новые навыки
Для владельца нет ничего ценнее здоровья питомца. Получив качественную помощь, он станет постоянным клиентом именно вашей клиники
Расширение спектра услуг вет. клиники
Высокая лояльность клиентов
Рост прибыли вашего бизнеса
Для вас важно не стоять на месте и постоянно совершенствовать свои навыки – быть в курсе актуальной информации и последних исследований, уметь работать с новой аппаратурой

Эксперты нашего курса помогут восполнить любые пробелы и систематизировать знания. Учитесь на кейсах повышенной сложности от опытных коллег
Этот курс для вас, если:
Вы – ветеринарный врач
визуальной диагностики
В вашей клиники нет профильного специалиста и вы сами осознаете незаменимость визуальной диагностики при работе с пациентами.

Знание основ визуальной диагностики важны любым ветеринарным специалистам. На курсе вы сможете повысить свою квалификацию для более комплексной помощи пациентам.
Вы – вет. врач
другой специализации
Этот курс – отличный старт в карьере ветеринарного врача визуальной диагностики.

Наши эксперты, практикующие врачи, подробно и простыми словами разбирают сложные темы и делятся клиническим опытом. Наша цель – донести знания до слушателя любого уровня!
Вы – ассистент или
начинающий специалист
Вам мало изучать сельхоз животных, мало пыльных учебников и статей 2006 года?

Приглашаем на курс, созданный совместно с практикующими ветеринарными врачами. Вчера на приеме – сегодня лектор уже разбирает интересный кейс из практики вместе с вами.

Наш курс – ваша база в ветеринарной практике!
Вы –
студент
Ответить на любые вопросы и проконсультировать сможет наш специалист по подбору обучения – оставьте заявку в форме, а мы свяжемся с вами в кратчайшие сроки
Вы
все еще не уверены,
что этот курс для вас?
Вы устали от работы в своем отделении, но не хотите уходить из любимой профессии?

На нашем курсе вы сможете освоить ценный навык визуальной диагностики, а эксперты поддержат на каждом этапе обучения. Продолжайте помогать пациентам с новыми знаниями и силами!
Вы
хотите сменить
специализацию
3 года опыта за 3 месяца на курсе
Эксперты нашего курса делятся со слушателями секретами профессии и многолетним опытом. Сделайте скачок в своем развитии, как специалиста – обучение на курсе "Ветеринарный врач визуальной диагностики" равноценно 3 годам самостоятельного изучения.

Экономьте время и силы – учитесь у опытных профессионалов!
длительность обучения
навыки и опыт
Программа курса "Ветеринарный врач визуальной диагностики"
Доступ сразу после покупки
40 часов практических заданий
106 часов теории
+ 2 модуля в подарок
Модуль: УЗИ: Необходимая база
Разберем основы УЗ-диагностики - все, что необходимо для углубленного погружения. Вы узнаете все о датчиках и аппаратах, а также манипуляциях под контролем УЗИ и породных особенностях пациентов.
Программа курса "Ветеринарный врач визуальной диагностики"
Доступ сразу после покупки
106 часов теории
40 часов заданий
7 уроков
УЗИ: постоперационная оценка
Видовые особенности на УЗИ
Как понимать УЗИ
Дополнительные материалы
Чеклист "Артефакты"
Чеклист "Техника цистоцентеза"
Чеклист "Породные особенности"
Результаты модуля
Разберетесь в видах датчиков и работе с разными аппаратами
Научитесь не просто видеть органы, но и отличать норму от патологии
Сможете проводить УЗИ гериаррическим и педиатрическим пациентам
Физика ультразвука и артефакты
Гериартрические и педиатрические пациенты
УЗИ: работа на разных аппаратах
Центезы: показания и противопоказания
+ 2 модуля в подарок
Модуль: УЗИ: Острые состояния и ошибки
Как специалисту заметить ОЗМ или заворот селезенки во время УЗ-исследования? Как избежать ошибок? В этом модуле отвечаем на эти и другие не менее важные вопросы, а также научимся технике проведения УЗИ экстренных пациентов.
3 урока
УЗД: острые состояния
УЗД: частые ошибки
УЗИ экстренных пациентов. AFAST, TFAST, VetBLUE
Дополнительные материалы
Чеклист "AFAST"
Чеклист "VetBLUE"
Результаты модуля
Избавитесь от страха допустить ошибку, будете уверенны в своих действиях
Освоити техники проведния AFAST, TFAST, VetBLUE
Научитесь проводить УЗИ пациентам с экстренными состояними: ОЗМ, панкреатит, анафилаксия, заворот селезёнки
Чеклист "FAST протоколы"
Модуль: УЗИ ЖКТ
Чаще всего на УЗИ смотрят желудочно-кишечный тракт. В третьем модуле курса с экспертами детально разбираем нормы и частые патологии, а также л/у и сосуды. Закрепляем материал разбором видео-петель.
8 уроков
УЗИ ЖКТ: норма
УЗИ ЖКТ: хирургические патологии
УЗИ ЖКТ: не хирургические патологии
УЗИ поджелудочной железы
Дополнительные материалы
Чеклист "Хирургические патологии"
Чеклист "Поджелудочная железа"
Памятка "Свободная жидкость"
Результаты модуля
Вспомните нормальную УЗ-анатомию желудка, тонкого и толстого кишечника
Поймете, как вовремя заметить патологии, требующие хирургического лечения
Сможете вести пациента и составлять грамотные заключения для коллег
УЗИ л/у брюшной полости
Сосуды брюшной полости
Свободная жидкость на УЗИ
Топ патологий ЖКТ на УЗИ
Модуль: УЗИ: Гепатобилиарная система
На лекциях этого модуля подробно рассмотрим нормальную анатомию и патологии печени, желчного пузыря и желчных протоков.
3 урока
Печень: нормальная анатомия
Печень: патологии
Билиарная система: норма и патологии
Дополнительные материалы
Чеклист "УЗИ печени: патологии"
Чеклист "Желчный пузырь"
Результаты модуля
Узнаете все об особенностях УЗ-визуализации печени и ее анатомии
Детально изучите такие патологии, как липидоз, гепатит, цирроз и холангиогепатит
Научитесь проводить УЗ-исследования желчевыделительной системы
Чеклист "УЗИ печени"
Модуль: УЗИ: Мочевыделительная система и репродуктивная система
На приеме врача УЗИ нередко можно встретить пациентов с патологиями почек, мочевого пузыря и репродуктивной системы. Вместе с экспертами приступает к углубленному изучению УЗ-диагностики мочевыделительной и репродуктивной системы.
6 уроков
УЗИ мочевого пузыря: норма и патология
УЗИ почек: норма и патологии
Гематурия: виды, причины и диагностика
Предстательная железа и семенники
Дополнительные материалы
Чеклист "Анатомия мочевого пузыря"
Чеклист "Болезни собирательной с-мы"
Чеклист "Анамнез и осмотр"
Результаты модуля
Будете знать, как могут выглядеть структурные изменения почек на УЗИ
Сможете построить план диагностики пациента с гематурией
Научитесь проводить УЗИ пациентов с такими патологиями, как поликистоз, инфаркты, цистит
Матка и яичники
УЗИ беременности: норма и патологии
Модуль: УЗИ: Кардиология
Знания кардиологии для специалиста визуальной диагностики - практически мастхэв. Сердце - орган, к которому нужен особенный подход. Вы научитесь проведению ЭХОКГ допплерографии и с уверенностью сможете проводить прием кардиологического пациента.
11 уроков
Первичный прием кардиолога
Нормальная анатомия сердца и гемодинамика
Помощь пациенту до приема кардиолога
Основные патологии сердца для врачей УЗД
Дополнительные материалы
Чеклист "Термины и сокращения"
Чеклист "УЗИ грудной клетки: термины"
Чеклист "ДКМП: что важно знать"
Результаты модуля
Разберете патогенез таких патологий, как эндокардиоз МК, стеноз ЛА, ГКМП
Детально изучите диагностический подход и первичную терапию кардиопациентам
Поймете, какие препараты мы можем назначить до первичного приема кардиолога, чтобы не навредить пациенту
Кошки: частые заболевания сердца
Собаки: частые заболевания сердца
Скрининг ЭХОКГ
УЗИ грудной клетки
ДКМП
Кардиомиопатии
Основы допплерографии
Модуль: УЗИ: продвинутый уровень
В седьмом модуле простыми словами разбираем темы со звездочкой. Наша цель - подготовить вас к проведению УЗ-исследований труднодоступных органов, а также научить работе с экзотическими пациентами.
7 уроков
УЗИ селезенки: норма и патология
УЗИ надпочечников
УЗИ афалин
УЗИ глаза - нормы и патологии
Дополнительные материалы
Чеклист "УЗИ: надпочечники"
Чеклист "Алгоритм УЗИ афалин"
Чеклист "УЗИ сосудов"
Результаты модуля
Изучите подготовку пациента и технику сканирования селезенки
Подробно разберете нормальную УЗ-анатомию и патологии надпочечников
Сможете проводить УЗИ не только кошкам и собакам, но и экзотическим пациентам
УЗИ шеи
УЗИ экзотов
УЗИ сосудов
Модуль: Рентген
На уроках этого модуля разберем работу рентгенолога – начнем с азов исследования и закончим темами продвинутого уровня. Эксперты курса детально разберут особенности и правила рентгенографии органов и систем.
11 уроков
Основы рентгенографии, укладки, принципы интерпретации
Средостение и лимфоузлы грудной полости
Плевра
Дополнительные материалы
Памятка "Органы брюшной полости"
Чеклист "Основы рентгенографии"
Чеклист "Рентген: написание заключения"
Результаты модуля
Освоите базу рентгенографии – укладки и чтение рентгенограмм
Получите навык диагностики экстренных пациентов
Сможете грамотно и последовательно составлять заключения по результатам исследования
Пищевод + контрастное исследование
Типы затемнения легочной ткани
Трахея и магистральные бронхи
Экстренная рентгенография
Рентгенография органов БП | часть 1
Рентгенография органов БП | часть 2
Выделительная урография, контрастирование мочевого пузыря и уретры
Рентген: как писать заключение
Модуль: КТ
Компьютерная томография - активно развивающийся метод диагностики в ветеринарной медицине. Клиник с КТ-аппаратами становится все больше – а мы научим, как с ними работать!
5 уроков
КТ - что это за метод. Физика КТ и проведение исследования
Показания и противопоказания. Как подготовить пациента
Дополнительные материалы
Чеклист "Показания"
Чеклист "Противопоказания"
Чеклист "Как понять заключение"
Результаты модуля
По пунктам разберём составление заключения – правила и все тонкости
Научитесь читать томограммы
Вы сможете подготовить пациента к исследованию и будете знать, какие могут быть противопоказания
Контрастные исследования
Чтение томограмм. КТ-анатомия
Как понять заключение и как составить свое
в подарок к любому тарифу
Модули "МРТ" и "КТ" в подарок при записи на курс
Получите 2 бонусных модуля "МРТ" и "КТ" в подарок при регистрации на любой из тарифов курса – все от основ до написания заключений!
Модуль: МРТ
МРТ-диагностика - непростое направление с большим количеством тонкостей и особенностей. На курсе вы научитесь всему самому необходимому: чтению изображений, подготовке пациента и проведению исследования.
6 уроков
Основы МРТ
Интерпретация изображений МРТ
Правила работы с аппаратом МРТ
Как подготовить пациента к исследованию
Дополнительные материалы
Чеклист "Правила работы"
Чеклист "Противопоказания"
Чеклист "Безопасность"
Результаты модуля
Научитесь работать с аппаратом МРТ: настройки и проведение диагностики
Получите план действий при подготовке пациента к исследованию
Будете понимать изображения и закрепите знания разбором реальных клиничесих случаев
Противопоказания и безопасность
Разбор клинических случаев из практики
в подарок к любому тарифу
7 уроков
Разберем основы УЗ-диагностики – все, что необходимо для углубленного погружения. Вы узнаете все о датчиках и аппаратах, а также манипуляциях под контролем УЗИ и породных особенностях пациентов.
Физика ультразвука и артефакты
Модуль: УЗИ: Необходимая база
УЗИ: постоперационная оценка
Видовые особенности на УЗИ
Дополнительные материалы
Чеклист "Артефакты"
Разберетесь в видах датчиков и работе с разными аппаратами
Памятка "Техника цистоцентеза"
Чеклист "Породные особенности"
Научитесь не просто видеть органы, но и отличать норму от патологии
Сможете проводить УЗИ гериаррическим и педиатрическим пациентам
Результаты модуля
Как понимать УЗИ
Центезы: показания и противопоказания
Гериартрические и педиатрические пациенты на УЗИ
УЗИ: работа на разных аппаратах
3 урока
Как специалисту заметить ОЗМ или заворот селезенки во время УЗ-исследования? Как избежать ошибок при настройке аппаратуры и проведении диагностики? В этом модуле отвечаем на эти и другие не менее важные вопросы, а также научимся технике проведения УЗИ экстренных пациентов.
Модуль: УЗИ: Острые состояния и ошибки
УЗД: острые состояния
Избавитесь от страха допустить ошибку, будете уверенны в своих действиях
Освоити техники проведния AFAST, TFAST, VetBLUE
УЗД: частые ошибки
Результаты модуля
УЗИ экстренных пациентов. AFAST, TFAST, VetBLUE
Дополнительные материалы
Памятка "FAST протоколы"
Памятка "VetBLUE"
Научитесь проводить УЗИ пациентам с экстренными состояними: ОЗМ, панкреатит, анафилаксия, заворот селезёнки
8 уроков
Чаще всего на УЗИ смотрят желудочно-кишечный тракт. В третьем модуле курса с экспертами детально разбираем нормы и частые патологии, а также лимфатические узлы и сосуды. И, конечно, закрепляем материал разбором клинических случаев и видео-петель.
УЗИ ЖКТ: норма
Модуль: УЗИ: Желудочно-кишечный тракт
УЗИ ЖКТ: хирургические патологии
УЗИ ЖКТ: не хирургические патологии
УЗИ поджелудочной железы: норма и патология
Вспомните нормальную УЗ-анатомию желудка, тонкого и толстого кишечника
Поймете, как вовремя заметить патологии, требующие хирургического лечения
Сможете вести пациента и составлять грамотные заключения для коллег
Результаты модуля
УЗИ лимфатических узлов брюшной полости
Дополнительные материалы
Памятка "Хирургические патологии"
Чеклист "Поджелудочная железа"
Памятка "Свободная жидкость"
Сосуды брюшной полости
Свободная жидкость на УЗИ
Топ патологий ЖКТ на УЗИ
3 урока
На лекциях этого модуля подробно рассмотрим нормальную анатомию и патологии печени, желчного пузыря и желчных протоков.
Модуль: УЗИ: Гепатобилиарная система
Печень: нормальная анатомия
Узнаете все об особенностях УЗ-визуализации печени и ее анатомии
Детально изучите такие патологии, как липидоз, гепатит, цирроз и холангиогепатит
Печень: патологии
Результаты модуля
Билиарная система: норма и патологии
Дополнительные материалы
Памятка "УЗИ печени: нормы и патологии"
Памятка "Желчный пузырь"
Научитесь проводить УЗ-исследования желчевыделительной системы
Модуль: УЗИ: Мочевыделительная система и репродуктивная система
6 уроков
На приеме врача УЗИ нередко можно встретить пациентов с патологиями почек, мочевого пузыря и репродуктивной системы. Вместе с экспертами приступает к углубленному изучению УЗ-диагностики мочевыделительной и репродуктивной системы.
УЗИ мочевого пузыря: норма и патология
УЗИ почек: норма и патологии
Гематурия: виды, причины и диагностика
Предстательная железа и семенники: норма и патологии
Дополнительные материалы
Памятка "Анатомия мочевого пузыря"
Будете знать, как могут выглядеть структурные изменения почек на УЗИ
Чеклист "Болезни собирательной системы"
Чеклист "Анамнез и осмотр"
Сможете построить план диагностики пациента с гематурией
Научитесь проводить УЗИ пациентов с такими патологиями, как поликистоз, инфаркты, цистит
Результаты модуля
Матка и яичники
УЗИ беременности: норма и патологии
11 уроков
Знания кардиологии для специалиста визуальной диагностики – мастхэв. Сердце – это орган, к которому нужен особенный подход. Вы научитесь проведению ЭХОКГ, допплерографии и с уверенностью сможете проводить прием кардиологического пациента.
Модуль: УЗИ: Кардиология
Нормальная анатомия сердца и гемодинамика
Помощь пациенту до приема кардиолога
Основные патологии сердца для врачей УЗД
Кошки: наиболее частые заболевания сердца
Собаки: наиболее частые заболевания сердца
Скрининг ЭХОКГ
УЗИ грудной клетки
ДКМП
Кардиомиопатии
Основы допплерографии
Чеклист "УЗИ грудной клетки: термины"
Первичный прием кардиолога
Разберете патогенез таких патологий, как эндокардиоз МК, стеноз ЛА, ГКМП
Детально изучите диагностический подход и первичную терапию кардиопациентам
Поймете, какие препараты мы можем назначить до первичного приема кардиолога, чтобы не навредить пациенту
Результаты модуля
Дополнительные материалы
PDF "Термины и сокращения"
Чеклист "ДКМП: что важно знать"
Модуль: УЗИ: продвинутый уровень
7 уроков
В седьмом модуле простыми словами разбираем темы со звездочкой. Наша цель – подготовить вас к проведению УЗ-исследований труднодоступных органов, а также научить работе с экзотическими пациентами.
УЗИ селезенки: норма и патология
УЗИ надпочечников
УЗИ афалин
УЗИ глаза: нормы и патологии
Дополнительные материалы
Памятка "УЗИ: надпочечники"
Изучите подготовку пациента и технику сканирования селезенки
Чеклист "Алгоритм УЗИ афалин"
Чеклист "УЗИ сосудов"
Подробно разберете нормальную УЗ-анатомию и патологии надпочечников
Сможете проводить УЗИ не только кошкам и собакам, но и экзотическим пациентам
Результаты модуля
УЗИ сосудов
УЗИ шеи
УЗИ экзотов
11 уроков
На уроках этого модуля разберем работу рентгенолога – начнем с азов исследования и закончим темами продвинутого уровня. Эксперты курса детально разберут особенности и правила рентгенографии органов и систем.
Модуль: Рентген
Основы рентгенографии, укладки, принципы интерпретации рентгенограмм
Освоите базу рентгенографии – укладки и чтение рентгенограмм
Сможете грамотно и последовательно составлять заключения по результатам исследования
Результаты модуля
Средостение и лимфоузлы грудной полости
Плевра
Пищевод + контрастное исследование пищевода
Типы затемнения легочной ткани
Трахея и магистральные бронхи
Экстренная рентгенография
Рентгенография органов брюшной полости | часть 1
Рентгенография органов брюшной полости | часть 2
Выделительная урография, контрастирование мочевого пузыря и уретры
Рентген: как писать заключение
Чеклист "Основы рентгенографии"
Дополнительные материалы
Памятка "Органы брюшной полости"
Чеклист "Рентген: написание заключения"
Получите навык диагностики экстренных пациентов
Модули "МРТ" и "КТ" в подарок при записи на курс
Получите 2 бонусных модуля "Магнитно-резонансная томография" и "Компьютерная томография" в подарок при регистрации на любой из тарифов курса – все от основ до написания заключений!
Модуль: Компьютерная томография
В подарок к любому тарифу
5 уроков
Компьютерная томография – активно развивающийся метод диагностики в ветеринарной медицине. Клиник с КТ-аппаратами становится все больше – в этом разделе курса научим вас, как с такой аппаратурой работать!
КТ - что это за метод. Физика КТ и проведение исследования
Показания и противопоказания. Как подготовить пациента
Контрастные исследования
Чтение томограмм. КТ-анатомия
По пунктам разберём составление заключения – правила и все тонкости
Дополнительные материалы
Памятка "Показания"
Научитесь читать томограммы
Вы сможете подготовить пациента к исследованию и будете знать, какие могут быть противопоказания
Памятка "Противопоказания"
Чеклист "Как понять заключение"
Результаты модуля
Как понять заключение и как составить свое
Модуль: Магнитно-резонансная томография
7 уроков
МРТ-диагностика – непростое направление с большим количеством тонкостей и особенностей. На курсе вы научитесь всему самому необходимому: чтению изображений, подготовке пациента и проведению исследования.
Основы МРТ
Интерпретация изображений МРТ
Правила работы с аппаратом МРТ / как пользоваться
Как подготовить пациента к исследованию
Дополнительные материалы
Чеклист "Правила работы"
Научитесь работать с аппаратом МРТ: настройки и проведение диагностики
Чеклист "МРТ: Противопоказания"
Чеклист "Безопасность: специалист и пациент"
Получите план действий при подготовке пациента к исследованию
Будете понимать изображения и закрепите знания разбором реальных клиничесих случаев
Результаты модуля
Противопоказания к проведению и безопасность
Разбор клинических случаев из практики
В подарок к любому тарифу
Идеальный формат обучения
для загруженного графика смен
Мы знаем, как сложно найти время для качественного обучения с графиком 2/2 или суточными сменами. Именно поэтому наш курс проходит в формате записанных уроков – учитесь в комфортном именно для вас темпе!
Вы не останетесь один на один со сложными материалами курса – наши эксперты всегда готовы ответить на любые вопросы и провести консультацию
Смотрите лекции и проходите задания на любом устройстве и в любое удобное для вас время – даже в короткий перерыв на смене
На нашем курсе вам не нужно подстраиваться под темп коллег. Проходите обучения по своему индивидуальном (идеальному!) плану.
Уроки в записи готовы к просмотру
Вы не зависите от группы и потоков слушателей
Идеальный формат обучения
для загруженного графика смен
Мы знаем, как сложно найти время для качественного обучения с графиком 2/2 или суточными сменами. Именно поэтому наш курс проходит в формате записанных уроков – учитесь в комфортном именно для вас темпе!
Смотрите лекции и проходите задания на любом устройстве и в любое удобное для вас время – даже в короткий перерыв на смене.
Вы не зависите от группы и потоков слушателей. На нашем курсе вам не нужно подстраиваться под темп коллег – это трата вашего драгоценного времени! Проходите обучения по своему индивидуальном (идеальному!) плану.
Вы не останетесь один на один со сложными материалами курса – наши эксперты всегда готовы ответить на любые вопросы и провести консультацию

Вас будут консультировать наши эксперты
Во время обучения вы можете получить личную консультацию с экспертом – разобрать любые интересующие вас вопросы по теме курса, клинические случаи из собственной практики и задания на проработку материала!
Индивидуальный подход
Мотивация и поддержка
Обмен опытом с ведущими экспертами
Квалифицированные сотрудники - основа успеха любой клиники!
Обучение сотрудников – вклад в развитие вашего ветеринарного бизнеса и увеличение потока клиентов
Обучение ваших сотрудников
на нашем курсе
Улучшение качества работы, новые навыки
Расширение спектра услуг вет. клиники
Высокая лояльность клиентов
Для владельца нет ничего ценнее здоровья питомца. Получив качественную помощь, он станет постоянным клиентом именно вашей клиники.
Рост прибыли вашего бизнеса
Ваши консультации с экспертами курса
Во время обучения вы можете получить личную консультацию с экспертом – разобрать любые интересующие вас вопросы по теме курса, клинические случаи из собственной практики и задания на проработку материала!
Индивидуальный подход – работаем именно с вашим запросом
Мотивация и поддержка на протяжении всего обучения
Обмен опытом с ведущими экспертами
Смотрим видеоуроки
Закрепляем пройденный материал
Вы проходите уроки от ведущих специалистов – руководителей и заведующих отделениями и практикующих ветеринарных врачей, изучаете материал и реальные клинические случаи из практики спикеров. Лекторы комплексно подходят к каждой теме, уроки длятся от 1 часа.
После каждого урока вас ждут задания для самостоятельной проработки – тесты и открытые вопросы для глубокого погружения в тему. Также вы будете получать дополнительные материалы от наших спикеров – полезные статьи, чеклисты и схемы.
Как проходит ваше обучение
Задаем вопросы специалистам
Во время обучения вы сможете в любой момент задать вопрос лектору и получить письменный ответ, а также воспользоваться возможностью онлайн консультации и детально разобрать интересующую тему.
Проходим финальное тестирование
По завершении курса вы пройдете онлайн тестирование по темам, пройденным во время обучения. После успешного прохождения вам будет предоставлен электронный сертификат об успешном окончании курса.
Максимальная выгода
только для вас
Специальное предложение для вас, как участника конференции – дополнительная скидка на любой выбранный тариф
Выберите тариф
и запишитесь на курс
Тесты и задания после каждого пройденного урока
106 часов материала от практикующих ветеринарных специалистов
Базовый
Гайд "Как писать заключение" и "Изучение медицинских статей"
Все опции базового тарифа,
а также:
Оптимальный
Бонусный мини-курс "Базовая офтальмология"
Доступ ко всем лекциям раздела "Визуальная диагностика", вышедшим во время обучения на курсе
2 личные консультации с экспертом – ответим на ваши вопросы и разберем клинические случаи
29 900
87 000 ₽
Оставить заявку
Персональные консультации с экспертом 1 раз в неделю по 60 минут – разбор ваших вопросов и клинических случаев
Все опции базового и оптимального тарифов, а также:
Pro
78 000 ₽
109 000 ₽
Оставить заявку
В период обучения на курсе вы будете получать доступ ко всем анонсированным лекциям из раздела "Визуальная диагностика"
Доступ к материалам на 7 месяцев
Поддержка от преподавателей курса и координаторов на весь период обучения
2 975 ₽
3 750 ₽
6 250 ₽
28 000 ₽
81 000 ₽
Оставить заявку
При рассрочке на 12 месяцев
При рассрочке на 12 месяцев
При рассрочке на 12 месяцев
/ месяц
/ месяц
/ месяц
Модули "КТ" и "МРТ" в подарок
Вы проходите уроки от ведущих специалистов – руководителей и заведующих отделениями, практикующих ветеринарных врачей, изучаете материал и реальные клинические случаи из практики спикеров. Лекторы комплексно подходят к каждой теме, уроки длятся от 1 часа.
Как проходит обучение
Смотрим лекции
После каждого урока вас ждут задания для самостоятельной проработки – тесты и открытые вопросы для глубокого погружения в тему.

Также вы будете получать дополнительные материалы от наших спикеров – полезные статьи, чеклисты и схемы.
Закрепляем пройденный материал
Во время обучения вы сможете в любой момент задать вопрос лектору и получить письменный ответ, а также воспользоваться возможностью онлайн консультации и детально разобрать интересующую тему.
Задаем вопросы специалистам
По завершении курса вы пройдете онлайн тестирование по темам, пройденным во время обучения.

После успешного прохождения вам будет предоставлен электронный сертификат об успешном окончании курса.
Проходим финальное тестирование
Выберите тариф
Базовый
106 часов лекций от практикующих ветеринарных специалистов
Тесты и задания после каждого пройденного урока
Поддержка от преподавателей курса и координаторов на весь период обучения
Модули "КТ" и "МРТ" в подарок
81 000 ₽
28 000 ₽
Оптимальный
Гайд "Как писать заключение" и "Изучение медицинских статей"
Бонусный курс "Базовый курс: Офтальмология"
2 личные консультации с экспертом – ответим на ваши вопросы и разберем клинические случаи
Доступ ко всем лекциям раздела "Визуальная диагностика", вышедшим во время обучения на курсе
87 000 ₽
29 900 ₽
Все опции базового тарифа, а также:
PRO
Персональные консультации с экспертом 1 раз в неделю по 60 минут – разбор ваших вопросов и клинических случаев
109 000 ₽
78 000 ₽
Все опции базового и оптимального тарифов, а также:
Дополнительные материалы
В период обучения на курсе вы будете получать доступ ко всем анонсированным лекциям из раздела "Визуальная диагностика"
При рассрочке на 12 месяцев
2 583 ₽
/ месяц
При рассрочке на 12 месяцев
3 333 ₽
/ месяц
При рассрочке на 12 месяцев
6 100 ₽
/ месяц
Доступ к материалам на 7 мес.
Вашими преподавателями будут лучшие эксперты отрасли
И это далеко не все!
Лукьянова Анна
ветеринарный врач
сециализация – кардиология, ультразвуковая диагностика
Видянова Зоя
врач высшей категории отделения визуальной диагностики вет. клиники Белый Клык
Катюхина Ольга
врач визуальной диагностики, клиника Два Сердца (DuoCor)
Луковникова Екатерина
ветеринарный врач невролог, врач МРТ диагностики
Колесова (Костыгова) Елена
руководитель отделения КТ Европейского ветеринарного центра (EVC)
Касаткина Инесса
эксперт УЗ-диагностики, руководитель отделения визуальной диагностики
Вашими преподавателями будут лучшие эксперты отрасли
Видянова Зоя
врач высшей категории отделения визуальной диагностики ветеринарной клиники Белый Клык.
Касаткина Инесса
эксперт УЗ-диагностики, руководитель отделения визуальной диагностики
Катюхина Ольга
специалист визуальной диагностики, клиника Два Сердца (DuoCor)
Луковникова Екатерина
ветеринарный врач невролог, врач МРТ диагностики
Лукьянова Анна
ветеринарный специалист – кардиология, ультразвуковая диагностика
Колесова Елена
руководитель отделения компьютерной томографии Европейского ветеринарного центра (EVC)
Вашими преподавателями будут лучшие эксперты отрасли
Лукьянова Анна
ветеринарный специалист – кардиология, ультразвуковая диагностика
ветеринарный врач (токсикология, гастроэнтерология)
Катюхина Ольга
специализация: врач визуальной диагностики, клиника Два Сердца (DuoCor)
Луковникова Екатерина
ветеринарный врач невролог, врач МРТ диагностики
Касаткина Инесса
Врач высшей категории отделения визуальной диагностики вет. клиники Белый Клык.
Колесова Елена
руководитель отделения компьютерной томографии Европейского ветеринарного центра (EVC)
Видянова Зоя
После завершения курса и успешного прохождения тестирования, вы получите электронный сертификат, подтверждающий успешное окончание курса "Ветеринарный врач визуальной диагностики", усвоение материала и успешное завершение обучения.
Сертификат
Ответы на частые вопросы
Не нашли, что искали?
Хотите узнать больше о вебинаре, задать уточняющий вопрос 
или решить какую-либо проблему - свяжитесь с нами:
Отправляя форму, вы соглашаетесь на обработку персональных данных и получение информационных сообдщений от vet_workshop
Не нашли, что искали?
Хотите узнать больше о вебинаре, задать уточняющий вопрос 
или решить какую-либо проблему - свяжитесь с нами:
Отправляя форму, вы соглашаетесь на обработку персональных данных и получение информационных сообдщений от vet_workshop
Не нашли, что искали?
Хотите узнать больше о вебинаре, задать уточняющий вопрос 
или решить какую-либо проблему - свяжитесь с нами:
Отправляя форму, вы соглашаетесь на обработку персональных данных и получение информационных сообдщений от vet_workshop