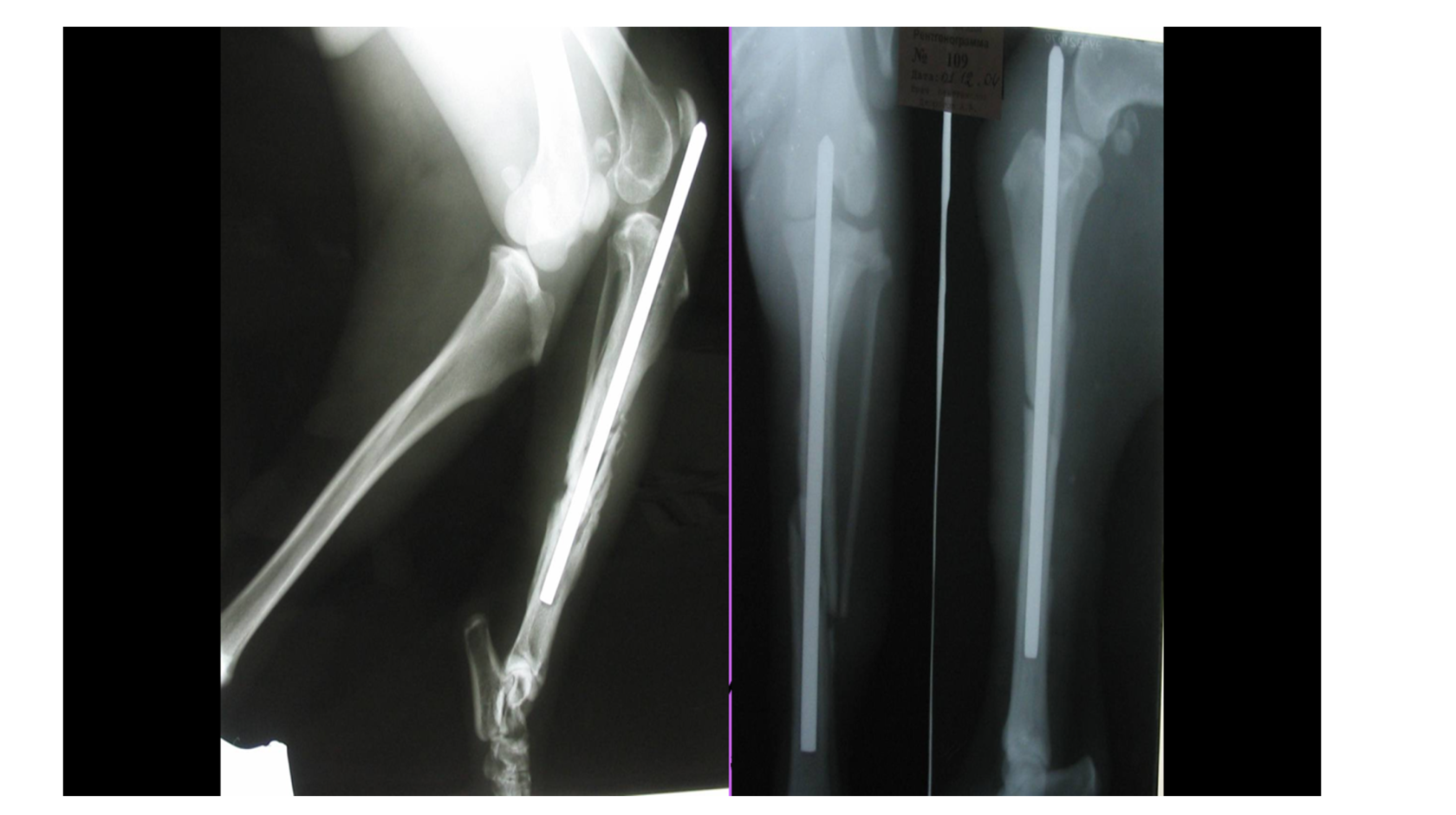
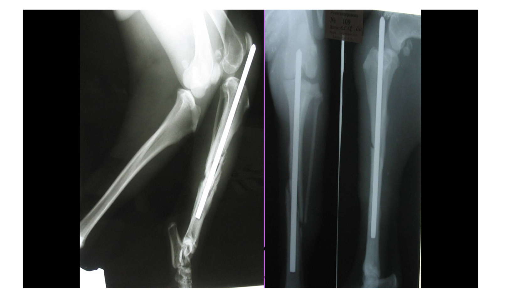
Остеосинтез: частые ошибки
Разберем основы остеосинтеза, преимущества и недостатки методов фиксации, первичные и вторичные методы фиксации и многое другое!
Формат
Запись вебинара
Доступ к записи
Навсегда
Материалы
Рабочая тетрадь + чек-лист
запись вебинара
Остеосинтез: частые ошибки
запись вебинара
Разберем основы остеосинтеза, преимущества и недостатки методов фиксации, первичные и вторичные методы фиксации и многое другое!
undefined
Формат
Запись вебинара
Доступ к записи
Навсегда
Материалы
Рабочая тетрадь
Остеосинтез: частые ошибки
Запись вебинара
После покупки вебинара вам на почту поступит письмо с подтверждением покупки, а также ссылкой с доступом в ваш личный кабинет, где будет храниться запись вебинара.
790 руб.
Остеосинтез: частые ошибки
undefined
Запись вебинара
После покупки вебинара вам на почту поступит письмо с подтверждением покупки, а также ссылкой с доступом в ваш личный кабинет, где будет храниться запись вебинара.
790 руб.
Содержание
Первичные и вторичные методы фиксации
Как спланировать
Ошибки
Общий подход к переломам
Преимущества и недостатки
Понятие перелом
Основы остеосинтеза
Содержание вебинара
Первичные и вторичные методы фиксации
Варианты исправлений
Ошибки
Как спланировать операцию
Нарушение техники
Основы остеосинтеза
Преимущества и недостатки методов
Заглянуть в вебинар
Заглянуть в вебинар
Заглянуть в вебинар
Ветеринарный врач травматолог-ортопед

Стаж работы с 2010 г.

Ежегодный участник в качестве лектора Санкт-Петербургского ветеринарного конгресса (2013-2022г)
Ветеринарный врач травматолог-ортопед
Стаж работы с 2010 г.

Ежегодный участник в качестве лектора Санкт-Петербургского ветеринарного конгресса (2013-2022г)
Отзывы
| почему мы | полезно ли |
полезный материал для практики, обсудили клинические примеры с ошибками, что было особенно важно
полезный материал
понравились четкие ответы спикера на поставленные вопросы, подробно их разобрали
разбор вопросов
спасибо за разбор вопросов и подробный материал, очень качественный вебинар
подробный разбор
Участница
вебинара Бакшанского Антона
Отзывы
| почему мы | полезно ли |
полезный материал для практики, обсудили клинические примеры с ошибками, что было особенно важно
полезный материал
понравились четкие ответы спикера на поставленные вопросы, подробно их разобрали
разбор вопросов
спасибо за разбор вопросов и подробный материал, очень качественный вебинар
подробный разбор
Участница
вебинара Бакшанского Антона
Мария
"Остеосинтез: частые ошибки"
Надежда
"Остеосинтез: частые ошибки"
Илья
"Остеосинтез: частые ошибки"
Отзывы
Полезный материал, обсудили клинические примеры с ошибками, что было особенно важно
Разбор материала
Понравились четкие ответы спикера на поставленные вопросы, подробно их разобрали
Спасибо за разбор вопросов и подробный материал, очень качественный вебинар
Полезный материал
Рекомендации
Вам понравится
подробнее
подробнее
подробнее
Ситникова Татьяна
Петров Никита
Собакина Светлана
Кастрация и стерилизация
Травмы глаза
Ошибки в хирургии
Не нашли, что искали?
Хотите узнать больше о вебинаре, задать уточняющий вопрос 
или решить какую-либо проблему - свяжитесь с нами:
Отправляя форму, вы соглашаетесь на обработку персональных данных и получение информационных сообдщений от vet_workshop
Не нашли, что искали?
Хотите узнать больше о вебинаре, задать уточняющий вопрос 
или решить какую-либо проблему - свяжитесь с нами:
Отправляя форму, вы соглашаетесь на обработку персональных данных и получение информационных сообдщений от vet_workshop
Не нашли, что искали?
Хотите узнать больше о вебинаре, задать уточняющий вопрос 
или решить какую-либо проблему - свяжитесь с нами:
Отправляя форму, вы соглашаетесь на обработку персональных данных и получение информационных сообдщений от vet_workshop
хирургия
вебинары
Основы травматологии
вебинар
Бакшанский Антон
Ветеринарный врач травматолог-ортопед
Стаж работы с 2010 г.